Emergency Dentist Asheville
DO YOU HAVE A DENTAL EMERGENCY?
Ask about a Same Day Emergency Appointment
✅ Same Day Treatment Available
✅ 5-Star Rated Emergency Dentist
Please fill out the form below:
Are you experiencing toothache or pain?
Schedule an immediate visit in order to treat the pain with our Emergency Dentist in Asheville.
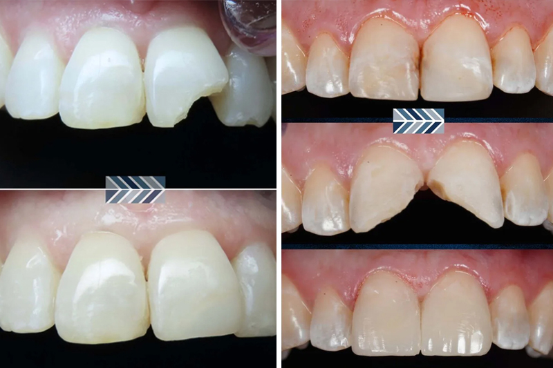
Our office offers emergency dental appointments. If you come in with an oral infection, a severe toothache, or a cracked or broken tooth, we will do everything we can to relieve your pain and fix the problem – we can possibly treat you on the same day you come in!
Emergency Dentist Near Me
We Have Time for You
There is nothing worse in dentistry than being in tremendous pain from a toothache or having some other dental emergency and not being able to schedule an appointment with your dentist. Our doctors reserve openings in our schedule every business day so we have the time needed to help patients in pain.
Emergency Dental Appointments
To make an emergency appointment, call our office at 828-771-6319 or contact us and we will get back to you as soon as possible.
