Before & After Smile Gallery
-
Read About This CaseDental Fillings to fix notches on gum line to improve food traps, sensitivity and esthetics.
-
Read About This CaseFillings to fix cavities on front teeth and improve dark appearance.
-
Read About This CaseDental Fillings on back teeth to fix cavities in between the teeth.
-
Read About This CaseInvisalign to improve the crowding on lower teeth to give a improved esthetic and functional smile.
-
Read About This CaseInvisalign to improve crowding and stop the patient's front from chipping further.
-
Read About This CaseComposite Veneers to replace failing and leaky fillings to give a new smile.
-
Read About This CasePatient had dental trauma. Dr. Marc restored the tooth the same day to restore his smile!
-
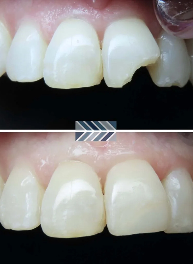
Read About This CaseThis patient fell and broke their front tooth. Dr. Marc restored the tooth with a dental filling in a single visit.
-
Read About This CaseDiastema closure with dental fillings on front teeth.
-
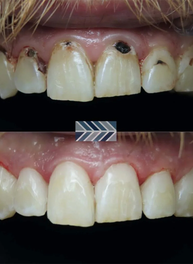
Read About This CaseThis patient had rampant decay on his front teeth was ashamed to smile. Dr. Marc did dental fillings in a single visit to help him smile again!
